御存知の通り、肺炎は日本人の死因ランキング上位です。
「肺炎にだけは絶対になってはならない」と、私は注意を払ってきました。
しかし、思いもよらず、突然肺炎になってしまいました。
嚥下障害とワレンベルグ症候群
ワレンベルグ症候群になると、嚥下障害が出ることがあります。
この障害は、リハビリによって回復することが多いです。
その理由は、ワレンベルグ症候群の症状が体の片側だけに出やすいからです。
嚥下は舌や喉など、体の中央にある器官の働きによります。
中央にある器官は、左右片側に麻痺等が出たとしても、正常な反対側で機能を補いやすいのです。
そのため、多くの場合は回復が見込めます。
嚥下時に多少の違和感が残ることはありますが、普通の食事に戻れる人がほとんどです。
嚥下障害が回復しないケース
一部の人は、嚥下に関係する器官の左右両側に麻痺が出てしまうことがあります。
そうなると、片側で補うことができません。
結果として、嚥下障害が後遺症として残ってしまいます。
私も、そのひとりです。
誤嚥とのたたかい
嚥下障害では、食べ物や飲み物が誤って気管に入りやすくなります。
食べ物や飲み物が気管に入ることを「誤嚥」といいます。
私も発症直後は、よく誤嚥して激しくむせました。
最初の頃は医師の指導の元、顔の向きや上体の角度を調整したりしました。
結局、よく噛んでゆっくり食べることが、誤嚥を防ぐ一番の方法でした。
現在は、誤嚥する回数はかなり減りました。
それでも、油断すると不意に誤嚥します。
誤嚥すると、激しい咳で涙や鼻水が止まらなくなります。
顔は「ぐしゃぐしゃ」になりますが、体の防御反応と理解しています。
誤嚥と肺炎の関係
誤嚥すると、異物が肺にまで入る危険があります。
それが肺炎(誤嚥性肺炎)につながります。
気管に入った異物を体の外に出そうとする動きが、咳嗽(がいそう)反射です。
咳嗽反射は脳の障害や加齢で弱くなることがあります。
嚥下障害のある人は、誤嚥のリスクが健常者より高いです。
そのため、肺の筋力と咳嗽反射の維持が大切です。
肺の筋力は、咳によって異物を体の外に出すために必要です。
私も肺炎を避けるため、誤嚥に気をつけて生活してきました。
しかし、ついに肺炎を患うことになりました。
肺炎のはじまり
最初の症状は、背中の左側、肩甲骨の下の痛みでした。
筋肉痛のように感じ、市販の塗り薬(痛み止め)を使いました。
その後、一週間ほどで熱が出始めました。
37度後半の熱が続き、近所のクリニックを受診しました。
まずはコロナとインフルエンザが心配なので検査を行いました。
結果は陰性で、ひとまず安心しました。
風邪との診断で、葛根湯と解熱剤が処方されました。
大きな病院での診断と治療
五日経っても熱が下がらず、病院を変えることにしました。
大きな病院で検査を受けました。
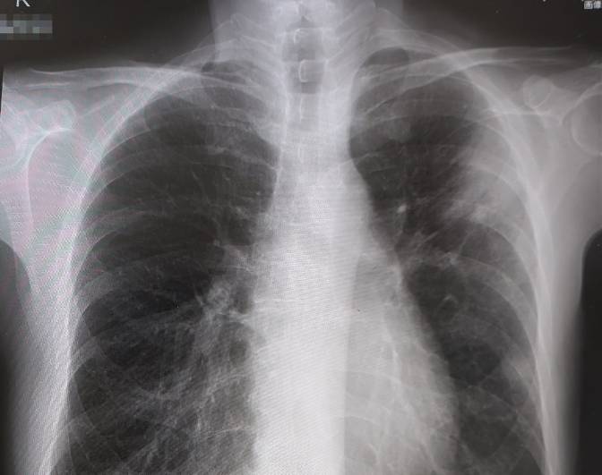
採血と採尿で炎症反応が見つかり、胸のCTを撮りました。
結果、肺炎と診断されました。
左肺の上部に白い影が映っていました。
背中の痛みの原因がこれだと分かりました。
血中の酸素は正常だったため、入院せず抗生物質で治療を始めました。
服薬から六日目で、ようやく熱が下がり始めました。
肺炎の経過と回復
経過観察のため、再び病院を訪れました。
血液と尿の中の異常値は、正常の範囲に戻っていました。
レントゲンでは白い影がまだ残っていましたが、徐々に消えるそうです。
少し尿の量が少ないと感じていたので、脱水症状防止のため点滴を受けました。
疲労感は残っていましたが、呼吸や咳に異常はありませんでした。
誤嚥性肺炎ではなかった
医師の話では、今回の肺炎は誤嚥が原因ではないそうです。
誤嚥性肺炎は肺の下部に影が出るのが一般的だそうです。
私の場合は、肺の上部だったため、別の原因が考えられました。
抗生物質が効いたため、市中肺炎の可能性が高いとのことでした。
結果的に、誤嚥性肺炎でなかったのは幸いでした。
原因はおそらく、加齢による体力と抵抗力の低下だと思います。
⇒⇒ 市中肺炎


こんばんは、同じ年うまれのおっさんです。はじめまして。
自分は約2年半前に突然脳梗塞、ワレンベルグでした。お決まりの嚥下障害も付いてきました。今は退院してほぼ何でも食べれるようには回復しましたが、運が良かっただけですね。たまたま急性期からリハビリ病院へ転院した時のテストで、嚥下障害用のゼリーに舌、喉と脳がたまたま反応してくれて、それから少しずつ飲み込みが反応するようになったのです。
急性期での約一月半では、唾すら飲み込めませんでした、唾ですら誤嚥、これによる高熱で忙しい急性期の看護婦さんに夜な夜な迷惑を掛けてから、なおさら飲み込みに躊躇してしまう始末。ほんとうに脳の病気は厄介ですよね。
こんばんは
ブログにお越しいただきありがとうございます。
まずは嚥下障害が回復して良かったですね。
私は誤嚥はなかったので、誤嚥性肺炎は大丈夫でした。
同じ嚥下障害でも、障害の内容は様々なようで、脳の病気は厄介です。